インプラント
下顎大臼歯4歯インプラント補綴

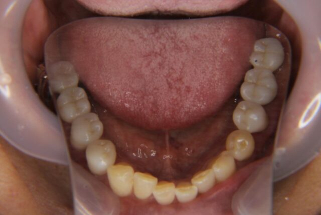
Before

After
| 主訴 | 奥歯の痛みと腫れ |
|---|---|
| 年齢 | 60代 |
| 性別 | 男性 |
| 治療期間・回数 | 9ヶ月 14回 |
| 治療方法 | 下顎大臼歯の抜歯と仮義歯製作,インプラント補綴 |
| デメリット・注意点 | 抜歯後の治癒期間も必要で治療完了まで長期間かかりました.その間は仮義歯を製作し使用してもらいました. |
治療詳細
-
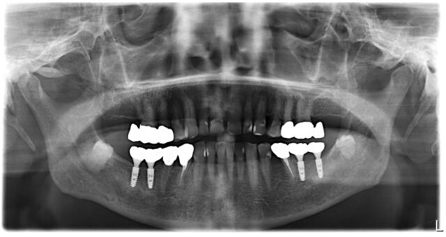
9ヶ月後,パノラマ写真

骨吸収もなく,経過良好です.
何でも食べられるそうです.
// 構造化データLocal Business
症例集
Case