インプラント
きれいな歯を守る、臼歯1本インプラント

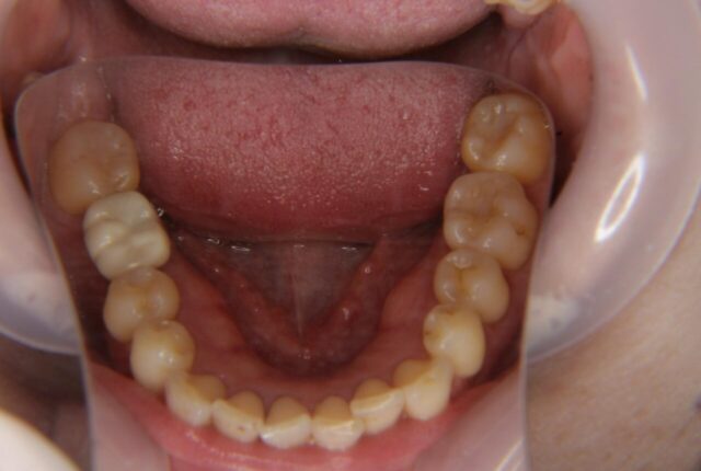
Before

After
| 主訴 | 歯牙の破損 |
|---|---|
| 年齢 | 30代 |
| 性別 | 女性 |
| 治療期間・回数 | 5ヶ月 7回 |
| 治療方法 | インプラント治療 |
| デメリット・注意点 | きれいな歯を削らず長期間保存するため、インプラント治療を選択。 |
| 備考 | 治療前後ではなく、長期間安定しているインプラント症例の紹介です。 定期メンテナンスに来ていただき、12年3ヶ月の間、問題なくお過ごしいただいてます。 歯を削ることなく治療が完了しており、インプラントだけではなくお口全体がとてもきれいな状態を維持できています。 |