審美治療
インプラント審美治療歯周病虫歯
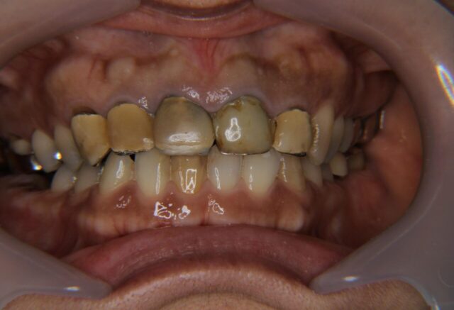
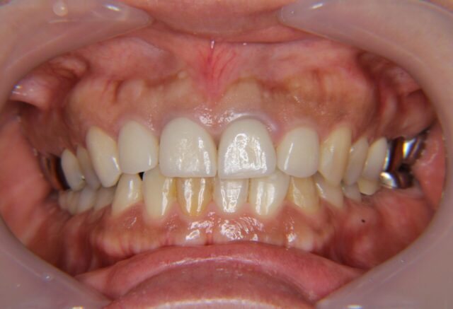
歯周外科処置を含む前歯セラミック治療と臼歯インプラント治療

Before

After
| 主訴 | さし歯が取れた |
|---|---|
| 年齢 | 40代 |
| 性別 | 女性 |
| 治療期間・回数 | 5ヶ月、14回 |
| 治療方法 | 歯周治療、歯周外科手術、セラミック治療、インプラント治療 |
| 費用 | 1,090,800円 |
| デメリット・注意点 | セラミックとインプラントの費用で保険診療分は含まず |
| 備考 | 前歯は5本、e-maxセラミックを使用。 臼歯インプラントは2本、ジルコニアセラミックを使用。 表示されている費用は当時の価格となっています。 前歯を美しく仕上げるため、歯周治療と歯周外科手術を丁寧に行いました。 セラミックは白くて当たり前ですが、歯ぐきとの調和を重視して治療しました。 |
審美治療歯周病虫歯
保険診療でできる前歯の審美回復

Before

After
| 主訴 | 歯ぐきの腫れと痛み |
|---|---|
| 年齢 | 30代 |
| 性別 | 女性 |
| 治療期間・回数 | 9ヶ月/30回 |
| 治療方法 | 歯周治療,抜歯,虫歯治療,根管治療,フラップオペ,歯槽骨整形手術,補綴治療 |
| 費用 | 保険診療(ご負担割合により変動します) |
| デメリット・注意点 | 保険治療であってもある程度の成果は出せますが,治療期間と回数がかなりかかります. |
| 備考 | 長期間の治療でご負担とご苦労をおかけしたかと思いますが,やるべきことをひとつひとつを丁寧に治療させて頂きました. 少しでも長くお使いいただけるよう,メンテナンスに努めます. |
インプラント審美治療
時期が異なる前歯インプラントとその経過

Before

After
| 主訴 | 前歯が欠けて腫れて痛むことがある |
|---|---|
| 年齢 | 60代 |
| 性別 | 男性 |
| 治療期間・回数 | 5ヶ月,8回(時期が異なるのでそれぞれ片側での期間と回数) |
| 治療方法 | 上顎③2①インプラント治療,上顎①2③インプラント治療 |
| 費用 | 781,000円(インプラント2本とセラミック3歯ブリッジで片側での金額,保険診療分は含まず) |
| デメリット・注意点 | 前歯インプラントは難易度が高く,歯牙と歯茎のバランスを取るためにオプションオペを行ったり,ピンクポーセレンを用いて歯茎を補うこともあります. |
| 備考 | 時期が異なるインプラントは左右対称に整えるのが非常に困難で,細心の術前審査と予後の予測で苦労しましたが,綺麗に仕上げることができました. 今後の課題としては前歯での噛み合わせの負荷が強くなると破損などが生じる可能性がるので,全体の咬合バランスにも注意してメンテナンスしていくことが重要です. |
インプラント審美治療
歯肉形態の保全に重点を置いた前歯1本インプラント症例

Before

After
| 主訴 | 前歯の破折と腫れ |
|---|---|
| 年齢 | 70代 |
| 性別 | 男性 |
| 治療期間・回数 | 7ヶ月,6回(保険診療分は含まず) |
| 治療方法 | 右上1番抜歯,ソケットプリザベーション,人工骨を用いた骨造成と歯間乳頭形成術,インプラント1次オペおよび2次オペ,e-maxセラミック補綴 |
| 費用 | 374,000(保健診療分は含まず) |
| デメリット・注意点 | 抜歯後の骨吸収と歯肉の消失をいかに防ぐかに重点を置いて治療を行いました. |
| 備考 | 初診時に抜歯後の骨吸収と歯肉退縮により審美的な影響が出てくると予想できたので,そのための処置と時間をかけて治療を行いました. インプラント1次オペと人工骨を用いた骨造成(GBR)は同日に行い,その後5ヶ月の治癒期間をおいて2次オペとなりました. ほぼ左右差のない歯肉形態で治療完了することができました. 患者様は「長年違和感のあった前歯がすっかり良くなり、特に蕎麦などが美味しく食べられるようになった」とおっしゃい、とても満足してくれているようです。 |
審美治療
セラミック(e-max)

Before

After
| 主訴 | 前歯の根元,変色が気になる |
|---|---|
| 年齢 | 60代 |
| 性別 | 女性 |
| 治療期間・回数 | 3ヶ月 7回 |
| 費用 | 1歯e-max補綴 83,600〜127,600円 (他の保険診療負担金分は含まず) |
| 備考 | 他院の私費前装冠でしたが,経年劣化と色調の不調和を認めました.歯周治療と最新セラミックにより審美性を回復させました. 患者様は「すごくきれいになった」と、とても喜んでもらえました。 |
審美治療
ステキな笑顔は歯ぐきから

Before

After
| 主訴 | 歯ぐきの腫れと痛み |
|---|---|
| 年齢 | 60代 |
| 性別 | 女性 |
| 治療期間・回数 | 3ヶ月 9回 |
| 治療方法 | 審美的な回復には歯ぐきの改善が必須 |
| 費用 | 4歯ジルコニアブリッジ補綴 382,800~426,800円 (他の保険診療負担金分は含まず) |
| デメリット・注意点 | 強い衝撃を加えると表面が破折する恐れがある。 |
| 備考 | RSテクニックで画像診断を行いました.歯周病とガミースマイルの改善に歯周外科処置を行いました. |
審美治療虫歯
不調和な前歯ブリッジの改善

Before

After
| 主訴 | 上顎前歯不調和による審美障害 |
|---|---|
| 年齢 | 50代 |
| 性別 | 女性 |
| 治療期間・回数 | 2ヶ月 6回 |
| 費用 | 保険診療 |
| 備考 | 保険診療でも調和の取れたステキな笑顔になりました. |